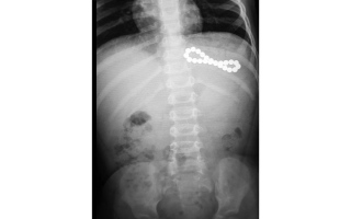
«الكرات المغناطيسية» تهدد حياة الصغار بتلف الأمعاء.. و114 ابتلعوها خلال 10 سنوات
الإمارات اليوم قبل 23 ساعة و 35 دقيقة | 10 قراءة